Root Canal Treatment
Newark, DE
Personalized Care
Friendly Staff
Fluent in English and Spanish
Hours:
Request Lorem Epsom
Hero Request Form
Thank you for contacting us.
We will get back to you as soon as possible.
Please try again later.
Root Canal Treatment to Relieve Pain and Save Your Natural Tooth
At Christiana Family Dental Care, we provide gentle and effective root canal treatment to relieve tooth pain while preserving your natural tooth. When decay or injury reaches the inner nerve of a tooth, a root canal can eliminate infection and prevent the need for extraction.
Our experienced team focuses on making the procedure as comfortable and stress-free as possible. If you’re experiencing persistent tooth pain or sensitivity, contact us today to schedule a root canal evaluation at our dental office in Newark, DE.
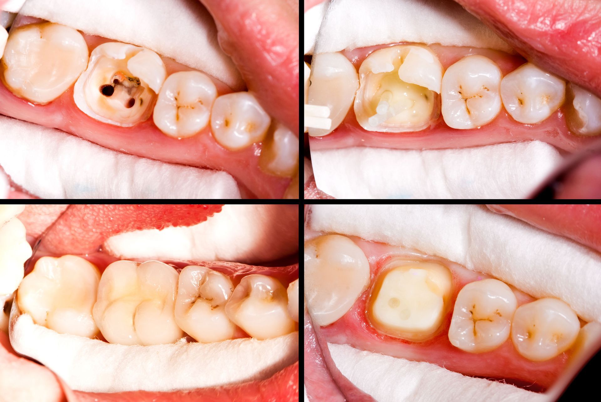
What Is a Root Canal?
A root canal is a dental procedure that removes infected or damaged nerves from inside a tooth. Once the nerve tissue is removed, the inside of the tooth is carefully cleaned, shaped, and sealed to prevent future infection.
Root canals are commonly needed when deep decay, cracks, or trauma reach the tooth’s nerve. By treating the infection early, a root canal allows you to keep your natural tooth and maintain normal chewing and bite function.
Why Is It Done?
Root canal treatment is done to:
- Relieve persistent tooth pain and sensitivity
- Eliminate infection from inside the tooth
- Prevent the spread of infection to surrounding teeth and gums
- Save the natural tooth instead of extracting it
- Restore comfort and normal oral function
Saving your natural tooth helps maintain proper alignment and long-term oral health.
What to Expect
Root canals are typically completed in one to two appointments, depending on the tooth and the extent of the infection:
- The area is numbed to ensure your comfort
- Infected nerve tissue is removed from the tooth
- The inside of the tooth is cleaned, shaped, and sealed
- A temporary or permanent filling is placed
- A dental crown is often recommended afterward to protect and strengthen the treated tooth
Our team will walk you through each step and answer any questions you may have.
After Your Procedure
After a root canal, mild soreness or sensitivity is normal for a few days. To support healing:
- Avoid chewing on the treated tooth until it is fully restored
- Take prescribed medications as directed
- Maintain good oral hygiene with gentle brushing and flossing
- Contact us if pain worsens, swelling occurs, or you notice unusual symptoms

Most patients return to normal activities quickly following treatment.
Why Choose Christiana Family Dental Care
Patients choose Christiana Family Dental Care for root canal treatment because we prioritize comfort, precision, and long-term results. Here’s what sets us apart:
- Modern dental office with advanced diagnostic and treatment technology
- Trusted provider of comprehensive dental services in Newark, DE
- Gentle, patient-focused approach to restorative care
- Friendly, professional team fluent in English and Spanish
- Locally owned, family-operated practice serving the community since 2011
- Acceptance of most PPO insurance plans
We’re committed to saving your natural teeth whenever possible.
Contact Us
Don’t let tooth pain or infection disrupt your daily life. Root canal treatment can relieve discomfort and help you keep your natural smile. Trust Christiana Family Dental Care for gentle, effective root canal care you can rely on.
Contact Christiana Family Dental Care today to schedule your consultation and receive expert dental care in Newark, DE.
- Bullet text
- Bullet text
- Bullet text
- Bullet text
- Bullet text
- Bullet text
- Bullet text
- Bullet text
- Bullet text
- Bullet text
Title or Question
Describe the item or answer the question so that site visitors who are interested get more information. You can emphasize this text with bullets, italics or bold, and add links.Title or Question
Describe the item or answer the question so that site visitors who are interested get more information. You can emphasize this text with bullets, italics or bold, and add links.Title or Question
Describe the item or answer the question so that site visitors who are interested get more information. You can emphasize this text with bullets, italics or bold, and add links.

Gallery Heading H2
Reviews

Personalized Care with a Friendly Touch



